Diş renklenmeleri
Diş renklenmeleri, çocuklarda sosyal ve psikolojik sorunlara yol açarak özgüven kayıplarına sebep olabilmektedir. Ebeveynlerinin ve çocukların dış görünüşleriyle ilgili kaygıları ve estetik arayışları, günümüzde diş hekimliğinde çocuklardaki estetik tedavinin önemini arttırmaktadır.
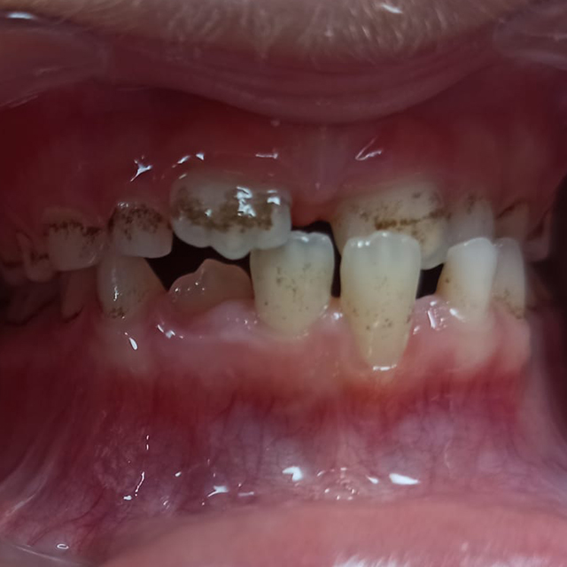
Dışsal renklenmeler
( Profesyonel temizlik ile giderilir)
- -Siyah -kahverengi renklenme
- -Turuncu renklenme
- – Yeşil renklenme
- – Mavi renklenme
İçsel renklenmeler
( Profesyonel temizlik ile giderilmeyen)
- -Sistemik hastalıkların neden olduğu diş renklenmeleri
- -Kimyasal renklenme
- -Çürüğe bağlı renklenme
- -Dişin nekrozuna bağlı renklenme
- -Kanal tedavisi sonrası meydana gelen renklenme